“医生,我这脚疼得实在受不了了,感觉像有无数根针扎、火烧一样!”近日,西安医学院第一附属医院风湿免疫科门诊,33岁的工程员小李拄着拐杖,面色苍白,额头上布满汗珠,双手紧紧地抓住拐杖,痛苦地叫喊着。他的大脚趾红肿得像个馒头,皮肤表面红、亮、紧、胀,仿佛轻轻一碰就会破裂。询问病史,小李常年应酬饮酒,喜食海鲜火锅,从未重视体检报告中的尿酸异常。此次痛风,也是因为前一晚喝酒、吃海鲜烧烤等摄入了大量高嘌呤食物。
经门诊检查显示,小李血尿酸(8-HR)值626.20μmol/L↑;关节超声显示尿酸盐结晶沉积。小李确诊为痛风急性期,管床医师为其制定了快速控制关节炎症和疼痛的治疗方案。嘱咐其大量饮水,严格低嘌呤饮食,卧床休息,抬高患肢,局部理疗,并服用控制急性炎症的药物。经治疗,小李关节肿痛症状明显好转,加用降尿酸药物后好转出院。

“痛风”这个词,大家可能并不陌生,它总是和火锅、烧烤、啤酒、生活不规律等一同出现。对于痛风,很多人深受其苦,其发作时疼痛难忍且易反复发作,关键是发作的间隔时间会越来越短,久而久之会导致关节变形,更有甚者还会引发痛风性肾病、肾衰竭。所以,如果您患有痛风,不能只在疼痛时“修理”它,关键要在不痛时“维护”它。
痛风:不单单是“关节痛”的代谢性风湿病
痛风是由于体内尿酸水平长期升高,形成尿酸钠结晶,沉积在关节、软组织等部位引发的炎症性疾病。其本质是嘌呤代谢紊乱和(或)尿酸排泄障碍所致。
高尿酸已经成为了高血压、高血脂、高血糖后的第四高,高尿酸不仅可导致痛风性关节炎,还会引起肾脏损害,如果您一直摆烂让尿酸长期居高不下,还会形成痛风石。痛风石不只是让您痛这么简单,还可能导致关节畸形、皮肤溃烂。在生活中,大多数人都知道痛风,但很少人了解痛风石,还有部分人不知道这两者的关系。
什么是痛风石?
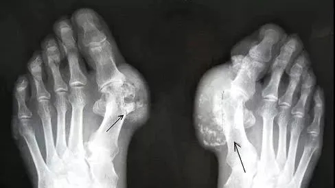
痛风石是指在痛风患者发病过程中,出现的一种坚硬的像石头一样的结节,是由体内的尿酸形成的结晶。它们会破坏关节和骨骼,导致关节畸形、活动障碍,甚至破溃流脓、难以愈合。
长期未控制,尿酸盐结晶在关节软骨、滑膜、肌腱、皮下甚至耳廓等处大量沉积,形成大小不一的黄白色结节。一般患者自己可观察到或触摸到皮下有凸起,伴或不伴发红,或者有包块,或能感受到疼痛、发热,甚至感觉关节活动受到影响,在医学上称为“痛风石”。
痛风石一般好发的部位主要有,耳廓、眼睑、关节部位的皮下,典型部位在耳廓,也常见于足趾、手指、腕、踝、肘等关节周围。
痛风石是怎么形成的?
高尿酸血症和痛风像是亲戚,但二者之间不能划等号,高尿酸血症不一定就是痛风,但是高尿酸血症患者在平时若有不良的生活习惯,长期下去就会引发痛风。尿酸在血液中的溶解性较弱,当血液中的浓度达到384μmol/L时,就超过了它在血液中的“饱和浓度”(即最大溶解能力)。在高尿酸的状态下,尿酸盐就会在血液中析出结晶,当患有痛风时,不积极治疗、仍生活不规律,不能将尿酸控制在正常范围内,那么痛风石就会出现。

日常生活中不良的生活、饮食习惯都有可能导致痛风石的形成,例如:
饮酒:酒精饮料中含有嘌呤,会增加引起痛风的风险;
饮食习惯 :高嘌呤食物(如动物内脏、海鲜鱼卵、浓汤肉汁)会导致患痛风风险升高;
肥胖:会导致尿酸浓度上升,诱发痛风;
运动:可促进尿酸排泄,但剧烈运动却会导致尿酸浓度上升,因此切忌剧烈运动;
精神因素:精神压力增大及疲劳过度会导致内分泌紊乱,造成尿酸的代谢异常,诱发痛风;
低温环境:尿酸盐在温度低或夜间的环境中更易析出晶体,沉积在关节周围,引起关节炎发作。
痛风石可以消退吗?
很多形成痛风石的朋友可能会担心痛风石一旦形成就无法逆转,其实,痛风石是可以消退的,血液中的尿酸盐在身体各个部位沉积是因为尿酸盐的浓度饱和。如果我们控制好尿酸,血里的尿酸水平下降,痛风石中的尿酸盐结晶就会重新溶解进入血液,痛风石也就可以慢慢溶解,逐渐消退。
如何让痛风石消退?
早期阶段严格控制,将尿酸水平控制到300μmol/L以下,痛风石中的尿酸就会逐渐复溶,使痛风石缩小甚至彻底消失。需要注意的是,这种尿酸盐水平的严格控制不能是短时间内的,想要逆转痛风石,需要长时间保持尿酸在低于300μmol/L的水平,痛风石中的尿酸盐结晶才能够不断溶解,直至逆转消失。
风湿免疫科医生提醒
痛风是一种可以被有效控制的慢性病,关键在于是否重视并坚持科学的治疗方法。痛风发作时,虽然有时可以自行缓解,但在某些情况下,及时就医至关重要,甚至刻不容缓。对于痛风,尤其是首次发作、症状严重或伴有全身症状时,宁可“小题大做”地去医院检查,也不要“硬扛”延误病情。及时的诊断和规范的治疗,不仅能快速解除患者痛苦,更能保护关节和肾脏,预防远期损害。
编辑:朱春娇