近日,68岁的梁大爷在西安市红会医院关节病医院髋关节病区成功接受全髋关节置换术,术后仅4小时即可独立下地行走,完成穿鞋、穿袜、如厕等日常活动,并于当天顺利出院。从入院到康复出院全程仅用时10小时,刷新了髋关节置换手术患者的快速康复纪录,令梁大爷感叹:“没想到手术这么快!术后恢复如此迅速,当天就能回家,简直像做梦一样。”

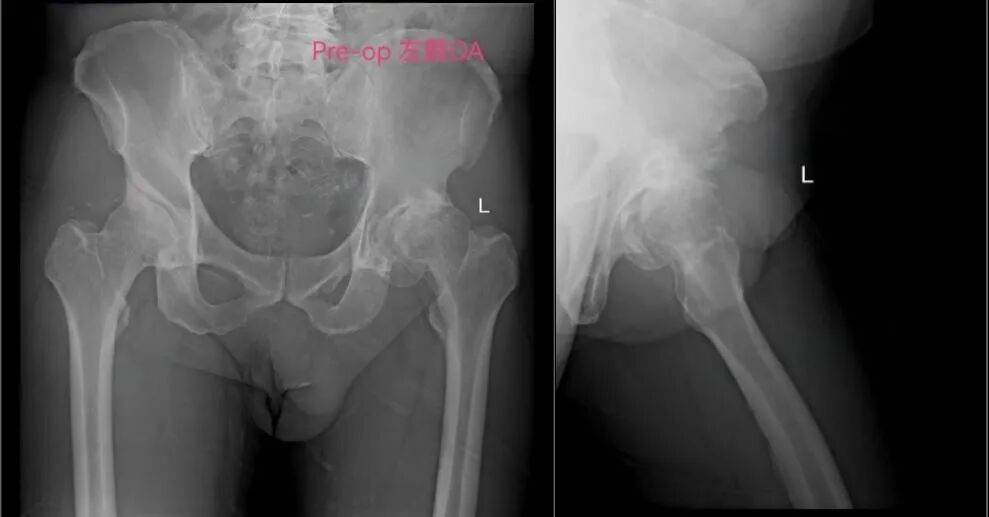
梁大爷多年来饱受左髋关节重度骨性关节炎困扰,行走困难,生活质量严重下降。尽管人工髋关节置换术是有效治疗手段,但因对手术创伤大、恢复慢、风险高的固有印象,手术一直成为他心中的“噩梦”。加上梁大爷有心脏基础疾病,手术与麻醉风险较高,进一步增加了治疗难度。
为确保手术安全并实现快速康复,西安市红会医院关节病医院髋关节病区团队在患者入院当日即启动多学科协作机制。王军副主任医师、吴彦杰主治医师联合麻醉科专家团队,针对患者高龄及心功能不全等个体情况,制定周密诊疗方案。麻醉科吴刚主任、秦楠副主任医师精准评估后制定了个性化麻醉策略,张朵麻醉医师全程实施严密监护,有效降低手术应激反应,为手术安全保驾护航。
手术采用微创技术进行全髋关节置换,切口小、组织损伤少、出血量极低,术中无需输血,未留置导尿管,手术时间不足一小时。术后无需拆线、换药,两周后仅需去除伤口敷料即可,极大提升了患者的舒适度和依从性。

术后4小时内,在医护团队指导下,梁大爷在保护下成功下地活动,实现自主行走与生活自理,无明显疼痛或不适。经全面评估生命体征及康复情况后,当天下午顺利办理出院手续,真正实现了“当日入院、当日手术、当日下地、当日出院”的高效诊疗模式。
“快速康复并非偶然,而是技术创新与诊疗模式优化的必然结果。”王军副主任医师介绍,近年来,科室持续聚焦微创技术革新、精准麻醉应用与快速康复(ERAS)理念的深度融合,积极引入人工智能辅助规划等先进技术,不断提升手术的精准性与安全性。同时,科室与麻醉科建立了常态化协作机制,通过术前综合评估、术中精准麻醉与微创操作、术后个性化镇痛、早期康复干预及护理一体化管理,构建起“术前评估—术中微创—术后快速康复”的全流程管理体系。
目前,髋关节病区全髋关节置换患者的平均住院时间已缩短至9至48小时,多数患者可在术后24小时内安全出院,真正实现了“创伤更小、恢复更快、回归生活更早”的现代外科治疗目标。
从高危患者的精准救治到微创技术的广泛应用,从住院周期的显著缩短到康复质量的稳步提升,西安市红会医院关节病医院髋关节病区始终坚持以患者为中心,以技术创新与人文关怀双轮驱动,为更多髋关节疾病患者带来福音。未来,科室将持续探索更加先进、安全、高效的诊疗技术与康复模式,推动快速康复理念广泛落地,为提升老年骨关节疾病患者的生活质量提供坚实保障。
编辑:朱春娇