半个月前,持续性头痛让张先生(化名)难以忍受,他紧急前往当地县医院就诊。一份颅脑CT报告,令他的心紧紧揪了起来:右侧额叶出现环状阴影,周围伴着大面积水肿,病灶已蔓延至右侧侧脑室前角。“占位性病变”这几个字,像一块乌云,笼罩在张先生和家属的心头。

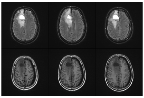
为了弄清病灶的“真面目”,县医院立刻安排了颅脑磁共振(MR)平扫及增强检查。影像画面清晰地显示,右侧额叶的病变范围不小,呈囊性改变,周围还存在典型的血管源性水肿带——所有迹象都指向一个令人担忧的方向:颅内恶性肿瘤的可能性很大。
抱着殷切希望,家属带着被头痛折磨得痛苦不堪的张先生,来到西安医学院第一附属医院神经外二科。此时,张先生的头痛已经非常剧烈,常规的脱水降颅压治疗几乎没有效果。为了缓解他的痛苦,更要防范随时可能发生的脑疝风险,医生当机立断,加用激素并加强脱水治疗。可即便如此,顽固的头痛仍未减退。时间不等人,必须尽快揪出病因,制定针对性的救治方案。
这个脑内的病变,到底是大脑“原生”的肿瘤,还是从身体其他部位“入侵”的转移瘤?这一问题,直接决定着后续的治疗方向。神经外科团队没有局限于颅内病灶本身,而是启动了一场缜密的“探案”:如果是脑转移瘤,那身体的某个角落,一定藏着它的“原发灶”。
接下来的一系列检查,就像一块块拼图,逐渐拼凑出病情的全貌。颅脑 MRS(磁共振波谱)检查,进一步印证了转移瘤的判断;全腹部CT扫描时,医生发现肝胃间隙有多发肿大淋巴结,最大直径约14mm;随后的全腹部增强CT,更清晰地暴露了肝胃间隙及贲门周围淋巴结的异常,影像科医生高度怀疑这些是转移性淋巴结。
而胸部CT检查,则让谜底终于浮出水面!影像显示,从隆突下到左心房水平的食管壁,呈现出不规则增厚的状态——这正是食管肿瘤的典型表现,而且食管旁已经出现了肿大的转移淋巴结。

术前核磁提示脑转移瘤
至此,一条完整的证据链逐渐成型:张先生难以忍受的头痛,根源是颅内高压;而颅内高压,源于额叶的占位病变;这个占位病变,极有可能是食管肿瘤转移而来,真正的 “元凶”,就隐藏在食管里。
病情复杂且危急:颅内占位体积较大,周围水肿明显,占位效应突出,随时可能因颅高压引发脑疝,直接危及生命。西安医学院第一附属医院第一时间启动多学科术前讨论(MDT),肿瘤内科、消化内科、心胸外科、麻醉科、影像科及神经外科的专家们共同研判。最终,一套“先急后缓、步步为营”的科学救治策略确定:首要任务是解除颅脑危机,立即实施开颅手术,切除右侧额叶的占位病变。
这一步棋,一来能快速解除颅内高压,抢救生命、缓解痛苦;二来能获取病变组织进行病理诊断,这是后续所有治疗的“金标准”。同时,团队同步准备术后尽快安排胃镜检查,对食管病变进行活检,明确原发癌的病理类型与分子特征。待两份病理结果全部出来后,再由肿瘤专科牵头,制定包含放化疗、靶向治疗或免疫治疗在内的全身性综合治疗方案。
在充分的术前准备后,神经外科团队为张先生实施了显微镜下右侧额叶病变切除术。手术中,医生在精准保护重要脑功能区的前提下,将病灶完整切除。从肉眼观察来看,切除的病变完全符合转移瘤的特征。
术后不久,病理报告给出了最终诊断:(右额叶)转移性鳞状细胞癌。这与术前对食管肿瘤的怀疑高度吻合——要知道,食管癌最常见的病理类型,正是鳞状细胞癌。一场从大脑追溯到食管的“生命侦探案”,终于初步告破。

术后病理提示转移性鳞状细胞癌
术后,困扰张先生多日的剧烈头痛显著缓解,颅内高压的警报暂时解除。目前,张先生恢复平稳,医院已安排尽快为他进行胃镜活检。待食管病灶的病理结果明确后,他将正式进入肿瘤综合性治疗阶段,向着战胜病魔的目标继续前行。
专家提醒
脑转移瘤是成年人较为常见的颅内恶性肿瘤,它是指身体其他部位的恶性肿瘤细胞通过血液循环等途径,“跑”到大脑内生长形成的肿瘤。肺癌、乳腺癌、消化系统肿瘤(如胃癌、结直肠癌、食管癌)、恶性黑色素瘤等,是导致脑转移的主要原发肿瘤。主要症状常表现为逐渐加重的头痛、恶心呕吐(晨起为重)、肢体无力或麻木、言语障碍、癫痫发作、性格行为改变等,这些症状主要由肿瘤占位和脑水肿引起的颅内压增高及脑功能区受损所致。
针对颅内占位性病变,尤其是影像学检查提示转移瘤可能性时,临床诊疗必须树立全局观念。诊疗工作的核心目标并非仅针对单一病灶,而是要围绕患者整体病情制定方案。多学科协作(MDT)模式的应用,能够确保在处理局部急症的同时,实现对患者全身病情的统筹把控,从而为其规划出科学、合理的全程诊疗路径。
手术切除病灶可快速缓解患者临床症状、明确病理诊断、降低肿瘤负荷,为后续全身治疗奠定基础。在明确肿瘤原发灶及病理类型后,可进一步为患者制定放疗、化疗等常规方案,或选用靶向治疗、免疫治疗等更具针对性的个体化疗法,达到延长患者生存期,提升其生活质量的目的。
编辑:朱春娇