70岁的刘大爷(化名)患有糖尿病已有3年。最近两周,他的血糖怎么都控制不好,还出现了糖尿病酮症的迹象。1个月前,为了系统调整血糖,刘大爷住进了内分泌代谢科。
而住院期间的一次常规胸部CT检查,让所有人的心顿时揪了起来——报告显示,他的右肺下叶靠近胸膜处有一个占位性病变。

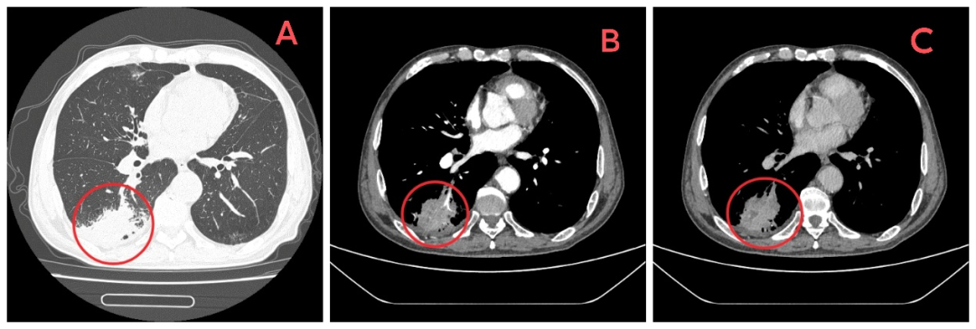
图A:患者胸部平扫CT;图B、C:患者胸部增强CT。红圈标注病变位置。
更令人焦虑的是,刘大爷的家人带着CT片子咨询了多家医院,几位医生看过影像后都皱眉表示:“这个病灶的形态不太好,需要高度警惕,首先要排除肺癌。”一时间,对疾病担忧的阴霾笼罩了整个家庭。
转科寻因:从“控糖”到“查肺”
因为肺部检查发现异常病灶,内分泌代谢科第一时间向呼吸与危重症医学科发出了紧急会诊申请。经会诊评估后,为进一步明确诊断,刘大爷转科至呼吸与危重症医学科接受专科诊疗。
面对这个高度疑似肿瘤的肺部病灶,当务之急是完成病理“定性”。影像学检查虽然能为诊断提供重要线索,但无法作为确诊依据。临床诊疗中,病理诊断才是判定病变性质的“金标准”。
一锤定音:为何选择超声支气管镜
在确定病理组织获取方案时,诊疗团队面临着一个选择。对于肺外周病灶,CT引导下经皮肺穿刺是临床常用的活检方式。但是仔细评估刘大爷的情况后,团队认为这种方式存在一定风险:刘大爷有多年慢性阻塞性肺疾病病史,胸部CT提示存在多发性肺大泡和肺气肿。如果贸然实施经皮肺穿刺,不仅会对其造成较大损伤,还会显著增加气胸等并发症的发生可能。
为此,诊疗团队经审慎讨论,为刘大爷制定了更适配其病情的检查方案——Lungpro导航联合超声引导下经支气管肺活检(EBUS-TBLB)。这项技术能像 “GPS 导航”一样,在Lungpro导航引导和超声精准定位下,让活检钳精准穿过支气管壁抵达病灶部位,规避了胸壁直接穿刺的相关风险,尤其适用于刘大爷这类肺脏基础条件较差的患者。方案确定后,团队随即为刘大爷顺利实施了此项检查,借助技术优势可实时清晰显示支气管外病变,实现病灶的精准活检。

图A:气管镜下检查及治疗;图B、C、D:Lungpro导航+超声引导下肺活检(EBUS-TBLB)的操作场景图。
通过这项技术,诊疗团队成功从肺内病灶中取得了足量组织标本。几天后,病理报告给出明确结论:隐球菌感染性肉芽肿伴间质性肺炎。排除了肺癌! 这个结果,让所有关注着刘大爷病情的人都松了一口气。

针对性治疗与顺利出院
诊断明确后,治疗方案立刻进行了相应调整。停用此前抗生素,改为口服抗真菌药物氟康唑进行针对性治疗。
经过规范治疗,刘大爷未再感到特殊不适,复查显示感染得到控制,血糖也趋于平稳。经评估,刘大爷已达到出院标准,于是顺利出院,后续只需在门诊定期随访即可。
“伪装者”——肺隐球菌病
刘大爷的经历并非个例。肺隐球菌病是一种容易造成误诊的疾病,因为它太会“伪装”了。

图片来源于医学界呼吸频道
它是什么?
这是一种由隐球菌(一种真菌)引起的肺部感染。真菌孢子可能随空气吸入肺内,在免疫力稍弱(如糖尿病患者)的人群中“定居”下来,形成感染灶。
为何容易误诊为肺癌?
影像“模仿秀”:在CT上,它常常表现为孤立的结节或团块影,边缘可能不光滑,形态上与早期肺癌非常相似。
症状不典型:很多患者像刘大爷一样,几乎没有任何呼吸道症状,或仅有轻微咳嗽,这更容易让人直接联想到“无症状的早期肿瘤”。
人群重叠:中老年、有基础病患者,既是肺癌高危人群,也是特殊感染的好发人群。
重要提醒:精准诊断是关键
这个病例再次凸显了一个重要的医学原则:对于肺部不明性质的病灶,病理诊断至关重要。 在决定任何重大治疗(尤其是手术)之前,应尽可能通过支气管镜或活检获取组织标本,明确诊断,避免误诊误治。
医生建议
如果您或家人体检发现肺部结节或占位,特别是当多家医院有不同意见时,请务必:
1.保持冷静,勿盲目恐慌:阴影不等于肺癌;
2.寻求专科评估:前往呼吸与危重症医学科或胸外科就诊,医生会判断是否需要进一步检查。
3.相信病理诊断:积极配合医生完成必要的活检,让显微镜下的证据说话。
编辑:闫如钰