近日,西安市中心医院经开院区骨科团队凭借精湛的脊柱外科技术,成功为一名脊髓型颈椎病患者实施颈椎前路椎间盘切除融合术(ACDF)。手术精准解除了患者脊髓压迫,帮助其摆脱了肢体麻木、行走困难的困扰,重拾健康生活。此次手术的顺利开展,再次彰显了科室在脊柱微创诊疗领域的扎实功底与技术实力。
患者为一名中老年男性,近半年来反复出现双下肢麻木、沉重感,行走时如同“踩在棉花上”,病情逐渐加重,严重影响日常起居。经多方打听,患者慕名来到西安市中心医院经开院区骨科就诊。接诊医生详细询问病史并进行全面查体后,结合颈椎MRI检查,明确诊断该患者为脊髓型颈椎病,颈椎间盘突出组织已明显压迫脊髓,保守治疗效果有限,需尽快手术解除压迫,否则可能导致肢体功能不可逆损伤,甚至瘫痪。

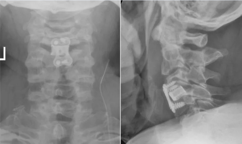
脊髓型颈椎病是危害最严重的一类颈椎病,其病变进展隐匿但后果严重,早期常表现为肢体麻木、步态异常,晚期可出现瘫痪、二便功能障碍等并发症。针对患者病情,骨科团队展开了缜密的术前讨论。考虑到传统开放手术创伤较大、恢复周期长,加之患者年龄偏大,对手术耐受性有一定要求,团队最终讨论确定采用国际公认的颈椎病手术“金标准”——颈椎前路椎间盘切除融合术(ACDF)为患者治疗。该术式通过颈部前方微小切口,精准切除病变椎间盘及骨赘,解除脊髓与神经根压迫,同时植入融合器并进行内固定,重建颈椎稳定性,具有创伤小、减压确切、恢复快等显著优势。
手术在麻醉科与手术室的密切配合下顺利开展。骨科团队凭借丰富的临床经验和娴熟的操作技巧,通过约5厘米的微小切口,精准建立手术通道,清晰显露病变节段。术中,团队仔细分离颈部血管、神经等组织,彻底清除突出的椎间盘组织及压迫脊髓的骨赘,随后精准植入椎间融合器并完成内固定。整个手术过程视野清晰、操作精准,历时仅1小时余,术中出血量不足20毫升。

术后,在骨科医护团队的精心照料和个性化康复指导下,患者恢复情况超出预期。术后第一天即可佩戴颈托下床活动,下肢麻木、沉重感明显缓解。看着自己多年的病痛得以解除,患者及家属对骨科团队表达了由衷的感谢。

西安市中心医院经开院区骨科长期深耕脊柱疾病微创诊疗领域,已熟练开展颈椎前路椎间盘切除融合术、UBE微创技术等多种先进术式,在颈椎病、腰椎间盘突出症、脊柱骨折等疾病的诊治方面积累了丰富经验。科室团队始终秉持“以患者为中心”的理念,不断探索创新诊疗技术,优化诊疗流程,致力于为患者提供更安全、更精准、更高效的医疗服务。
西安市中心医院经开院区骨科专家温馨提示,脊髓型颈椎病进展隐匿,早期症状易被忽视,若出现肢体麻木、行走不稳、精细动作障碍等症状,需及时到正规医院骨科就诊检查,避免延误病情。西安市中心医院经开院区骨科将持续以精湛的医术、优质的服务,为百姓脊柱健康保驾护航。
编辑:戴婧