当痛风长期侵蚀关节,造成骨缺损、畸形、严重毁损,传统假体不合脚、不贴合、难固定,治疗陷入困境。如今,3D打印个性化定制关节假体彻底打破局限,可实现“一人一假体、一骨一设计”的精准重建。
近日,西安市第五医院骨伤科二病区徐剡团队成功完成国内首例3D打印定制假体痛风性关节炎第一跖趾关节置换术。通过术前三维重建、数字化设计、专属假体打印、精准导航截骨,为晚期痛风足患者带来真正意义上的个体化、仿生型、高匹配度功能重建,标志着医院精准医疗再攀新高。
典型病例:痛风致关节严重毁损,3D打印“量身造关节”重获行走能力。
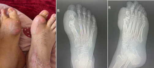
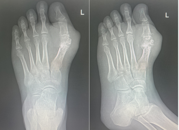
患者张先生,28岁,痛风病史5余年,因长期控制不佳,双足第一跖趾关节反复肿痛、逐渐变形,右足第一跖趾关节最终发展为关节软骨全层剥脱、大面积骨缺损、外翻畸形、关节半脱位。行走剧痛、无法穿鞋、夜间痛醒,保守治疗与传统手术均难以解决骨缺损与畸形问题,常规成品假体无法适配其严重破坏的骨骼形态。


骨伤科二病区团队为其制定一期行双足针刀镜微创手术彻底清理痛风石:

一期微创手术清理术后
二期右足行3D打印个体化跖趾关节重建方案:通过CT获取足部三维数据,1:1还原骨骼缺损与畸形结构,数字化设计完全匹配患者解剖的定制假体,再通过金属3D打印技术制造专属假体,真正实现“量骨定制、精准植入”。

定制假体
手术过程顺利,术中定制假体与骨床完美贴合,畸形彻底矫正。术后患者关节活动保留,步态恢复理想,康复进程显著快于传统手术。

为什么3D打印定制假体,是痛风足患者的优选?
痛风性关节炎患者普遍存在骨缺损大、畸形重、解剖结构破坏严重,传统“均码假体”难以适配,容易出现贴合差、固定不稳、力线不良、术后疼痛等问题。
3D打印定制假体的核心优势,无可替代:
1.一人一设计,100%贴合个体解剖。根据患者CT三维重建数据定制,假体形态、弧度、尺寸完全匹配缺损骨骼,解决“假体不合骨”的难题。
2.完美适配骨缺损与严重畸形。尤其适合痛风、类风湿等导致的骨缺损、关节塌陷、重度畸形,是传统假体无法替代的优势。
3.保留关节活动,恢复自然步态。相较于关节融合术,3D打印置换保留屈伸功能,行走更接近生理状态,舒适度与生活质量大幅提升。
4.手术更微创、康复更快。精准化操作减少软组织剥离,出血少、疼痛轻、恢复快,可更早下地负重。
哪些患者适合3D打印跖趾关节置换?
晚期痛风性关节炎,第一跖趾关节严重破坏、骨缺损、畸形、顽固性疼痛;
保守治疗、药物、清创手术均无效;
关节脱位、不稳、行走功能严重受限;
骨骼畸形、缺损大,传统成品假体不匹配;
希望保留关节活动、拒绝关节融合;
追求更高精准度、更好功能、更快康复的患者。
专家提醒,痛风一旦拖延,会造成关节不可逆破坏。早规范降尿酸、早干预、早就诊,是避免关节残疾的关键。若出现大脚趾肿痛、畸形、痛风石、行走困难、保守治疗无效,请及时到专科评估,3D打印定制关节重建可为晚期患者带来最后也是最好的功能保留机会。
此次首例3D打印痛风性跖趾关节置换的成功,是医院精准医疗的重要里程碑。未来,西安市第五医院将继续以先进技术守护百姓健康,让更多患者告别痛风困扰,重新稳健行走。
编辑:赵蕴清