肺癌合并脑转移,一直是临床公认的治疗难点之一,传统治疗模式下患者整体预后很差,然而,随着规范化综合治疗体系的不断完善及精准医学的深入应用,晚期肺癌的治疗格局正在发生重大改变。西安市中心医院肿瘤内科依托多学科协作(MDT)诊疗模式与个体化治疗策略,在晚期肿瘤治疗领域持续取得突破。
近日,西安市中心医院肿瘤内科一例晚期肺癌伴多发脑转移患者,已实现癌症慢病化,今年正式进入癌症康复第7年,充分展现了医院在复杂肿瘤综合诊疗方面的突出实力。
起点复杂:多原发叠加,确诊即晚期
该患者2019年因体检发现右肾占位,在外院行手术治疗,术后病理提示右肾透明细胞癌。术后复查过程中发现双肺多发结节,接受肺穿刺活检及病理与免疫组化分析,明确诊断为肺腺癌。进一步通过头颅CT影像学评估发现颅内多发转移灶,同时合并双肺及多发淋巴结转移,最终诊断为IV期驱动基因阴性肺腺癌。
初诊即为晚期伴脑转移,疾病凶险、进展迅速、治疗难度大,对医生诊疗的系统性、精准性、应急能力是巨大挑战。如何在最短时间控制病情,争取治疗机会,管控不良反应,延长患者生存也是对肿瘤诊疗的综合考验。
MDT统筹决策:构建全程一体化治疗路径
针对患者复杂病情,医院发挥综合医院优势迅速启动多学科会诊(MDT),由肿瘤内科牵头,联合影像科、病理科、放疗科等多学科力量,以患者为中心,充分对疾病分期、肿瘤负荷及患者全身状况进行系统评估,制定个体化综合治疗方案。
在治疗初期,团队优先控制中枢神经系统病灶,于外院给予规范化全脑放疗;同时给予化疗联合免疫及抗血管生成靶向治疗,形成多机制协同的系统治疗策略。迅速控制病情,抢占先机。
规范管理:从“疾病控制”到“慢病化管理”
在初始治疗取得良好效果后,西安市中心医院进一步为患者制定了长期维持治疗与随访管理方案,以免疫治疗联合抗血管靶向治疗为核心,实施动态评估与个体化调整。
在长达7年的随访过程中,医疗团队通过规范化影像复查、疗效评估及不良反应的管理,实现了对疾病的全程管理。患者屡屡出现相关不良反应,都在随访中通过早防早诊早治得到缓解。这一阶段标志着患者成功由“急性期肿瘤治疗”过渡至“慢病化长期管理”,体现了医院肿瘤内科在肿瘤全程管理体系建设方面的成熟能力。
精准医学介入:关键节点再创治疗策略升级
在2024年随访过程中,患者肺部病灶变大。肿瘤内科王峥主任团队并未简单延续既往治疗,而是基于规范化诊疗路径,再次实施组织活检并进行精准分子病理检测。
检测结果提示患者存在ALK融合突变。依托西安市中心医院病理科完善的分子诊断平台与精准治疗体系,团队迅速完成治疗策略调整,经家属及患者同意后启动新一代ALK靶向治疗药物,患者再获新生。
这一关键决策,体现了医院肿瘤内科在分子分型驱动治疗决策、精准用药快速转化临床方面的能力,实现了从“经验治疗”向“精准治疗”的无缝衔接。
持续获益:多发脑转移长期稳定控制
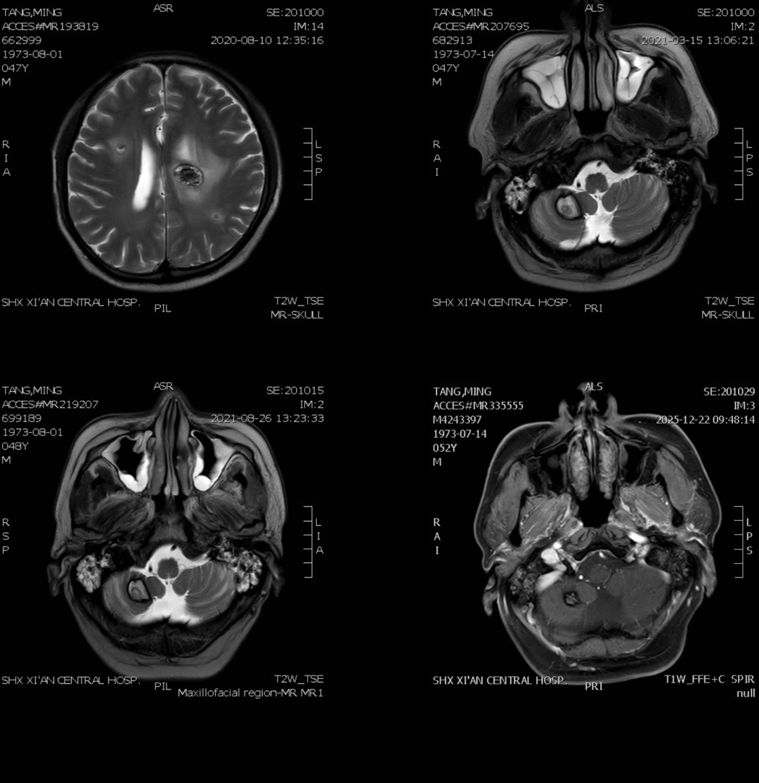
在接受靶向治疗后,患者规律随访复查。最新头颅磁共振结果显示,多发脑转移灶较前稳定,未见明显进展,提示颅内病灶得到持续有效控制。

(A图:2020.08.10头颅核磁复查;B图:2021.03.15头颅核磁复查;C图:2021.08.26头颅核磁复查;D图:2025.12.22头颅核磁复查)
目前,患者整体状况良好,生活质量如常人,已实现长期“带瘤生存”。从确诊至今,患者生存时间已超过6年,真正实现癌症慢病化。
专家点评:体系化诊疗是提升晚期肿瘤疗效的关键
西安市中心医院肿瘤内科主任王峥表示,该病例的成功,得益于西安市中心医院完善的多学科协作机制和规范化诊疗体系。在晚期肺癌尤其是脑转移患者的治疗中,单一手段难以取得长期效果,必须依托全程管理理念,将放疗、系统治疗及精准医学有机结合。同时,在疾病进展关键节点进行分子检测,及时调整治疗策略,也是实现长期生存的重要保障。
持续提升肿瘤综合诊疗能力 助力患者长期生存
近年来,西安市中心医院持续推进肿瘤规范化诊疗体系建设,完善MDT运行机制,加强分子诊断平台建设,不断提升精准治疗水平,在晚期肿瘤综合治疗领域积累了丰富经验。本例患者的成功管理,既是个体化医疗的具体体现,也是医院综合诊疗能力不断提升的缩影。未来,西安市中心医院将继续以患者为中心,推动多学科深度融合与精准医学发展,进一步提高肿瘤患者的生存率与生活质量。
编辑:史耀晖