近日,一位54岁男性患者因持续胸痛2小时,被送至西安市红会医院北院区急诊科,诊断为急性心肌梗死。治疗中突发室颤、意识丧失,命悬一线。北院区急诊抢救室、EICU、心内科等多学科团队迅速展开“生命接力”,果断启动ECPR,成功建立ECMO,快速开通闭塞血管,与死神赛跑。得益于及时的ECPR和血管开通,患者心肌得到最大程度保护。虽术后心功能一度降至谷底(EF仅0.22),但在精准管理和ECMO支持下,心脏逐渐恢复,最终EF回升至0.51,顺利脱离ECMO。这是一场速度、技术与团队协作的胜利,更是及时抢救带来良好预后的生动例证。
急诊室里的生死竞速
患者有5年高血压病史,入院时,胸痛剧烈,持续不缓解。急诊抢救室主治医师史宝强初步考虑为急性心肌梗死,迅速完善相关检查,心电图提示广泛前壁心肌梗死,在心梗绿色通道执行过程中,患者突发意识丧失,大动脉搏动消失,心电监护提示室颤,立即予心肺复苏、电除颤、呼吸机辅助通气等抢救。然而,患者反复室颤——这是一种致命性的心律失常,心脏实际上已经停止有效泵血,生命垂危。
“这是心梗后的电生理风暴!” 急诊科主任王彦军凭借多年危重症抢救经验,一眼识别出病情的凶险本质——反复室颤、常规复苏无效,患者的心脏已经无法自主维持稳定。ECPR是唯一的出路,必须立即启动体外生命支持,为心脏争取喘息的机会。
时间紧迫,王彦军一边组织继续抢救,一边向患者家属简明扼要地交代病情:患者急性广泛前壁心梗,反复室颤,心跳极不稳定,常规复苏手段效果有限,需要立即启动ECMO团队,行体外心肺复苏(ECPR),这是目前唯一的希望。家属表示理解并全力配合。
EICU的ECMO团队接到通知后立即启动! 一场更高级别的生命支持迅速展开。
ECPR——体外生命支持的“桥梁”
EICU团队迅速到位,在持续心肺复苏的同时,超声引导下快速建立VA-ECMO(静脉-动脉体外膜肺氧合)支持。
什么是ECPR?简单来说,就是在传统心肺复苏的基础上,快速建立ECMO,让机器暂时替代患者的心脏和肺功能,为心脏争取休息和恢复的时间,也为对患者进行确定性治疗争取机会。
这是一项技术难度高、团队配合要求极为严苛的抢救技术。EICU团队主治医师柳林、主治医李应辉、住院医师邓开基在极短时间内完成了血管穿刺、置管等环节,与护理团队紧密配合,快速启动ECMO设备。

随着ECMO的运转,患者原本几近衰竭的循环得到了有效维持,心脏和大脑等重要器官获得了灌注和保护。
ECPR的成功实施,为患者架起了一座通往介入室的“生命桥梁”。没有它,患者几乎没有机会接受下一步的冠脉造影和支架植入。

急诊PCI——快速开通堵塞的犯罪血管
在ECMO的保驾护航下,患者被紧急转运至介入室。心内二科李超民主任团队早已严阵以待。
时间就是心肌,心肌就是生命。对于急性心肌梗死患者而言,血管开通每延迟一分钟,就有大量心肌细胞不可逆地坏死。
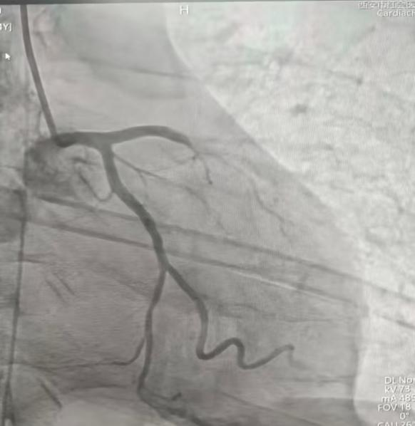
术中造影清晰地揭示了病变本质:前降支(LAD)近、中段100%闭塞——这是导致广泛前壁心梗、心源性休克、心脏骤停的“罪魁祸首”。其他血管也存在不同程度的狭窄。
目标明确:快速开通前降支!
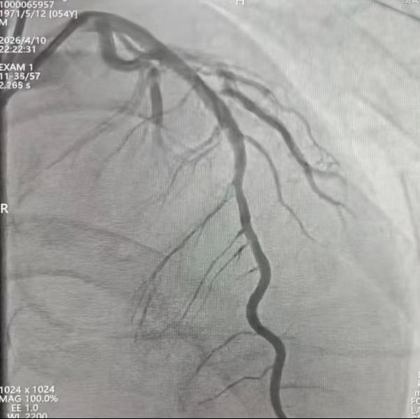
李超民主任团队精准操作:导丝通过闭塞段,球囊预扩张,随后精确植入一枚药物洗脱支架。术后造影显示:前降支血管狭窄完全消失,血流通畅。他们用极短的时间,重新打开了患者生命的“主干道”。

介入治疗前冠脉造影

介入治疗后冠脉造影
EICU的日夜坚守
手术成功只是第一步。术后,患者继续在ECMO、呼吸机支持下接受重症监护治疗。此时,患者面临多重挑战:大面积心肌损伤、凝血功能紊乱、感染风险,EICU团队逐一应对,精细化管理,同时给予脏器功能保护、营养支持等综合治疗。
术后早期,患者心脏超声显示射血分数(EF)最低降至0.22,意味着心脏几乎无法有效泵血,这是心肌梗死后的“至暗时刻”。
正是因为及时的ECPR和快速的血管开通,最大程度地挽救了濒临坏死的心肌,限制了梗死范围的扩大,为术后心功能的恢复创造了宝贵的条件。重症团队继续优化ECMO支持参数,调整治疗方案,保护心肌,为心脏的自我修复争取时间和条件。
在EICU全体医护人员的精心治疗和护理下,ECMO上机第3天,患者心功能显著恢复至0.51。同时,ECMO支持力度根据患者血流动力学情况也在逐步下调,有望在短时间内撤机!同日,患者通过ECMO撤机实验,成功脱离VA-ECMO支持,顺利下机。目前,患者血流动力学稳定,正在EICU进一步康复中。
从心脏骤停、反复室颤、深度昏迷,到ECMO下机、心功能恢复——这无疑是一个生命的奇迹,更是多学科合作带来良好预后的最佳证明。
本例患者的成功救治,体现了急性心肌梗死合并心源性休克、心脏骤停这一极高危临床情境下的规范化救治流程:快速识别电风暴→准确判断ECPR指征→及时启动ECMO团队→ECMO护航下急诊PCI→精细化术后管理。环环相扣,缺一不可。这是一次值得总结和推广的多学科协作典范。
生命至上,分秒必争。EICU团队将继续优化流程、提升技术,为更多急危重症患者保驾护航。
编辑:戴婧