3月18日,23岁的小李购买了从北京出发前往西藏的车票,开启了一场说走就走的旅行。但他全程未做任何高原攻略,也没有了解高原反应的高危风险,便贸然进入了高海拔区域。
3月19日,抵达西藏后,小李很快出现缺氧、呼吸困难、头晕等不适症状,自行购买的吸氧设备完全无法缓解他不适的症状。
3月20日,小李迅速陷入昏迷。在日喀则就医后,病情持续恶化,相继出现昏迷程度加深、反复肢体抽搐、去大脑强直状态,被确诊为急性重症高原性脑水肿,合并严重高原性肺水肿。

小李在西藏拉萨医院治疗
由于当地医疗条件有限,小李昏迷程度不断加重,病情瞬息万变,当地医院评估后建议紧急跨省转运。经过长达40小时的长途奔波,小李家属联系的救援队救护车连夜将濒危的他从西藏转运至西安高新医院。

小李在转运车途中
入院检查评估显示,小李格拉斯哥昏迷评分仅6分,病情极其危重。低压低氧环境引发的严重脑水肿、肺水肿快速进展至呼吸衰竭,他随时面临呼吸心跳骤停、脑死亡、猝死风险,生死一线。

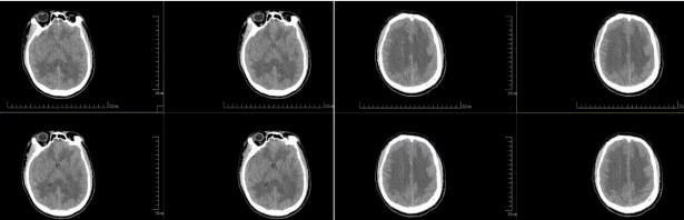
小李脑部CT提示脑水肿
面对这名年轻危重患者,西安高新医院神经外科高度重视,第一时间启动危重症救治预案,紧急开展病例研讨,严格遵循重症高原病诊疗指南,迅速展开全方位抢救。神经外科医护团队为他实施了一系列精准治疗:高流量吸氧纠正低氧血症、脱水降颅压减轻脑水肿、糖皮质激素冲击治疗抑制炎症反应、冰帽亚低温脑保护及亚低温代谢调控降低脑耗氧量、高压氧疗促进脑功能恢复。
然而,小李的病情仍在加重。随着脑水肿和肺水肿持续进展,最终发展为呼吸衰竭。神经外科医护团队果断为他实施气管切开术,连接呼吸机行生命支持治疗。整个救治过程中,医护人员24小时严密监护、动态调整治疗方案,全力守护这条年轻的生命。
经过为期3周的不间断精心救治与重症监护,小李的生命体征逐步平稳,意识慢慢恢复清醒,抽搐症状完全消失,肺部、脑部水肿持续消退,顺利脱离呼吸机支持,逐步恢复自主呼吸,能够下床活动。目前,小李各项身体指标回归正常,病情痊愈,即将康复出院。

小李与家属为科室送锦旗
借此病例,西安高新医院神经外科王允医生郑重科普警示,低海拔人群进入2500米以上高海拔区域后,因低压低氧环境会出现头痛、胸闷、气短、乏力、失眠等普通高原反应,大多1-3天可自行缓解。但普通高反极易进展为致命重症高原病。
其中,高原性肺水肿会引发剧烈咳嗽、咳粉红色泡沫样痰,会快速导致呼吸衰竭;而高原性脑水肿是致死率最高的重症高原病,初期仅表现为头痛、嗜睡,很快便会进展为昏迷、反复抽搐、颅内高压甚至脑疝,短时间内即可致猝死,绝不可与普通高反混为一谈。
医生提醒,前往高海拔地区,无论旅游还是工作,一定要循序渐进提升海拔,给身体充足的低压低氧适应周期,严禁无准备、无规划贸然进藏。一旦出现剧烈头痛、喷射状呕吐、走路不稳、精神嗜睡或昏迷等异常症状,切勿硬扛拖延,务必立刻高流量吸氧、快速向下转移海拔,第一时间前往正规医院紧急就医。千万不要抱有侥幸心理,不要让“青春任性”换来无法挽回的生命代价。
编辑:戴婧