近日,西安市中心医院心血管内科一病区在潘军强教授统筹、李晓峰教授团队领衔,联合超声医学科郑瑜教授团队,成功完成院内首例应用中国首个中欧双认证创新原研DragonFly™经导管二尖瓣夹系统的经导管二尖瓣缘对缘修复术(TEER),为一例A1脱垂累及外交界合并瓣环扩张的重度二尖瓣关闭不全患者实施微创修复。本次手术的圆满成功,标志着医院结构性心脏病介入治疗技术与综合救治能力再获关键突破。

患者为62岁男性,因胸闷气短入院;既往有持续性房颤、高血压病史,心功能III级(NYHA分级)。心脏超声提示二尖瓣A1脱垂、重度瓣上反流(4+),确诊为重度二尖瓣关闭不全。
病例难点
A1脱垂累及外交界伴次级腱索断裂,合并瓣环扩张,瓣叶捕获难度显著增加;外交界区瓣下腱索密集,术中操作需极致精细,对器械操控与术者经验要求极高。
手术策略
李晓峰教授团队经充分沟通及分析,因患者A1脱垂累及外交界,决定术中先在尽量靠近外交界位置植入1枚短宽SW0609型号DragonFly™二尖瓣夹,限制外侧脱垂及减少反流,术中根据残余反流及脱垂再决定是否补夹。
手术过程
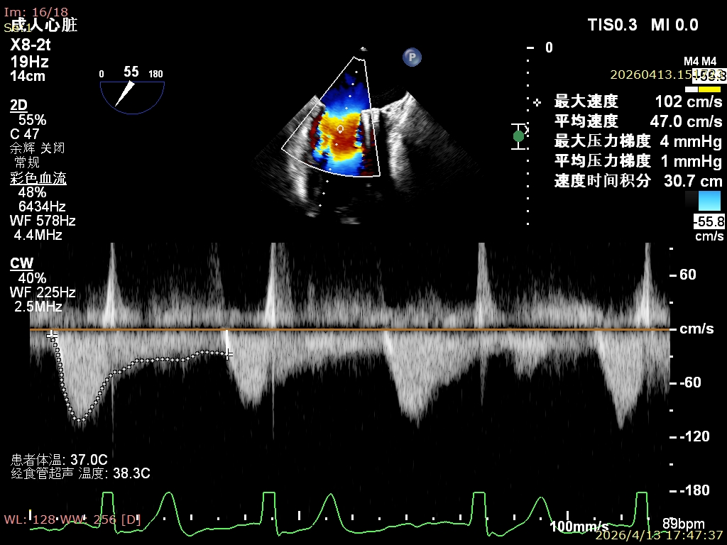
李晓峰教授团队行房间隔穿刺,高度为4.3cm,随后顺利置入导引鞘及SW0609(短宽型)二尖瓣夹,先于外交界区进行夹合,由于瓣叶活动度较大且瓣环存在扩张,李晓峰教授采用“反向捕获”技术成功捕捞瓣叶,释放后内侧仍残余部分脱垂及反流,决定于内侧补一枚XW0612(长宽型)二尖瓣夹。术后即刻评估显示,患者二尖瓣反流从重度降至轻量,平均跨瓣压差仅为1mmHg,肺静脉逆流征象得到显著改善,手术取得圆满成功。

潘军强教授指出,本例为西安市中心医院首例DragonFly™TEER 手术,患者病变累及外交界并合并瓣环扩张,属高难度解剖类型。针对交界区病变,DragonFly™长短夹组合能有效限制脱垂、减少反流,为复杂手术提供可靠器械支撑。本次手术既展现了西安市中心医院团队在复杂二尖瓣介入修复领域的成熟技术,也验证了该系统捕获精准、操控稳定、适配性强的临床优势,患者即刻效果与预后理想。未来团队将持续精进技术,规范开展微创瓣膜介入治疗,为区域患者提供更优质的诊疗服务。
编辑:孙洁